Tuesday, February 26, 2013
Question 3
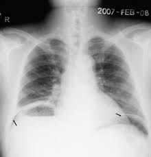
3. Your patient is a 82 year old male who presented with a sudden onset of abdominal pain. He is diffusely tender with involuntary guarding. He has hypoactive bowel sounds. He has had some nausea and vomiting. His vital signs are as follows Temp 97.9, O2 Sat 99% RR-20 Pulse 99, BP 143/76. An upright chest x ray has been ordered prior to you seeing the patient by the triage nurse. Take a look at the X Ray below.
Given the above data, what is the best management option for this patient now?
A. Send the patient for a 3 dose oral and IV contrast CT scan of the Abdomen and pelvis
B. Order the patient some Morphine 4 mg IV and Zofran 4 mg IV.
C. Place an NG tube in the patient
D. Call for a general surgery consult right now.
Subscribe to:
Post Comments (Atom)
No comments:
Post a Comment